AI makes non-invasive mind-reading possible by turning thoughts into text

AI makes non-invasive mind-reading possible by turning thoughts into text


AI makes non-invasive mind-reading possible by turning thoughts into text
2.0 k views

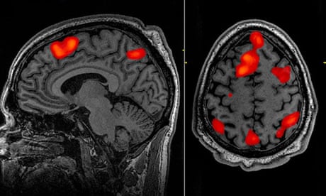
The achievement overcomes a fundamental limitation of fMRI which is that while the technique can map brain activity to a specific location with incredibly high resolution, there is an inherent time lag, which makes tracking activity in real-time impossible.

The learning process was intensive: three volunteers were required to lie in a scanner for 16 hours each, listening to podcasts. The decoder was trained to match brain activity to meaning using a large language model, GPT-1, a precursor to ChatGPT.

The participants were also asked to watch four short, silent videos while in the scanner, and the decoder was able to use their brain activity to accurately describe some of the content, the paper in Nature Neuroscience reported.

The decoder was personalised and when the model was tested on another person the readout was unintelligible. It was also possible for participants on whom the decoder had been trained to thwart the system, for example by thinking of animals or quietly imagining another story.

The team now hope to assess whether the technique could be applied to other, more portable brain-imaging systems, such as functional near-infrared spectroscopy (fNIRS).

you may also like

Diver drops to one knee 100 feet underwater in breathtaking Fiji shipwreck proposal
  • by foxnews
  • descember 09, 2016
Diver drops to one knee 100 feet underwater in breathtaking Fiji shipwreck proposal

A New Zealand couple's underwater proposal at about 100 feet near a Fiji shipwreck becomes an unforgettable scuba diving love story captured on a GoPro camera.

read more